
日期: 2025-02-06 浏览: 5514
2023年6月,一位84岁的女性患者因“左侧腰部疼痛5天,发热1天”入院。入院时高热,体温最高可达39℃,精神萎靡,急性面容,面色苍白,自诉左肾结石已有20余年,期间未予治疗。在我院泌尿外科经过详细检查后,被诊断为左肾结石伴积水及感染,同时存在轻度贫血。
面对高龄且病情复杂的患者,泌尿外科黄河主任迅速组织科室医护团队进行评估,并决定采取左肾穿刺造瘘术,以引流积水、去除感染源。
影像学检查

患者在完善相关检查后送手术室由黄河主任主刀,在局麻下行经皮左肾穿刺造瘘术。术程顺利,术后穿刺液培养结果显示为大肠埃希菌感染。患者术后7天复查,情况逐渐好转,生命体征趋于平稳。然而,由于患者年事已高,家属对于进一步的经皮肾镜取石术治疗心存顾虑,并要求拔除引流管,我科医生充分沟通无果后,予以拔除。此后半年间,患者虽经保守治疗,但结石问题始终未能得到根本解决,反复感染成为家常便饭。

2024年8月,患者因“腹痛3天”再次入院。经检查发现,左肾结石再度引起梗阻并感染,需急诊手术解除梗阻,控制感染,情况危急。在评估患者情况后,黄河主任带领医护团队立即对该患者行急诊经尿道左侧输尿管支架置入术+左肾穿刺造瘘术。术后,泌尿外科医护人员多次与患者及家属沟通交流,详细解释经皮肾镜取石术的实施必要性以及手术过程、效果和后续的治疗方案,让患者及家属深感温暖与安心,表示同意并积极配合手术治疗。

2024年10月份,患者办理入院手续,经过心内科、麻醉科、呼吸科等多学科会诊评估后,由黄河主任主刀在全麻下行经皮肾镜左肾结石超声碎石取石术。该手术通过超声精确定位,确保操作通道的准确建立,随后通过该通道置入肾镜,直观观察肾盂及各个肾盏的情况,明确结石的具体位置、大小和硬度,从而采取最为合适的方式进行碎石操作,大大提高了手术的安全性和成功率。
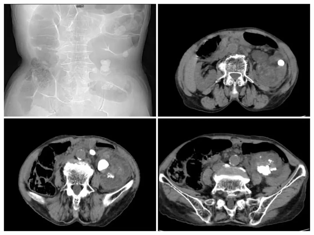
影像学检查

术后患者恢复良好,14日后顺利出院,影像学提示患者左肾结石完全清除,腹痛及发热情况再也没有出现。自此,困扰患者20余年的结石问题终于得到解决。
经皮肾镜取石术
percutaneousnephrolithotomy,PCNL
俗称“打洞取石”,是琼海市中医院泌尿外科长期开展的,针对肾盂及输尿管上段铸型/鹿角型结石及复杂结石碎石取石的微创手术方式。该技术通过经皮定位及建立操作通道,使用超声、激光、气压弹道等方式清除结石。是目前处理复杂性上尿路结石的理想手段。
技术亮点:经皮肾镜取石术是微创处理输尿管上段及肾结石最后一道保障,它能够通过小创口的方式处理腔内泌尿系结石手术无法处理的巨大结石及复杂性上尿路结石。有创伤轻微、碎石效率极高等优势。

随着医疗技术的不断进步和患者需求的日益增长,琼海市中医院泌尿外科不断引进和更新先进的治疗技术和设备,致力于为患者提供更加优质、高效的医疗服务。目前,除了经皮肾镜取石术外,我院泌尿外科还广泛开展了输尿管硬镜、软镜、腹腔镜下输尿管切开取石术等多种微创技术。这些技术的综合应用,使我院在泌尿系结石的诊治能力上达到了更全面、更高的水准。
琼海市中医泌尿外科

琼海市中医院泌尿外科医护及技术人员总数20人,其中医师6人,开设病床18张,重症监护室床位2张。拥有开展腔镜手术的各种国内外品牌腔镜,如德国狼牌输尿管镜、肾镜、膀胱镜,英国佳乐等离子电切镜、瑞士EMS超声联合弹道碎石仪及深圳慧康牌体外电磁碎石机、大华钬激光90W等先进仪器。现业务范围涵盖普通泌尿外科、腔内泌尿外科、结石泌尿外科、小儿泌尿外科、慢性梗阻性肾病、泌尿护理等临床业务,是目前我市业务开展项目较齐全的专科。